Orchards Dental
A Great Dentist

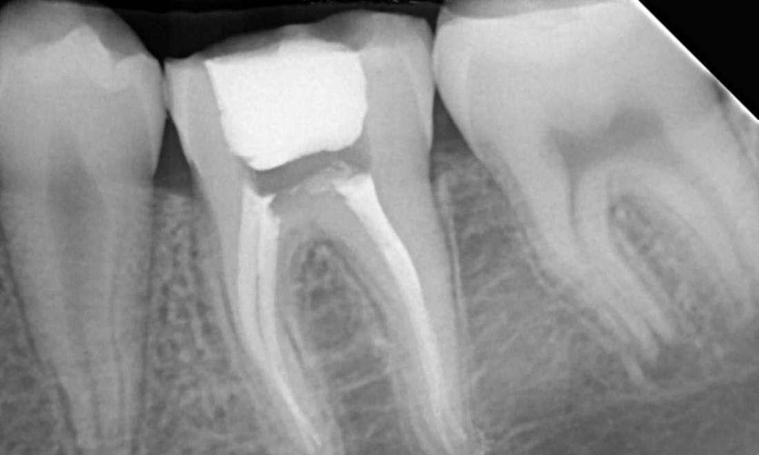
Root Canal Treatment - Lower Molar

Root Canal Treatment - Lower Molar

These are photographs of Dr. Dennis Anithottam's patient/treatment . Photographs are for informational purposes only because individual treatment results will vary from patient to patient. Some patients may not be candidates for treatment.” This is directly referenced from the ADA & C compliance codes.

Related Services:

Root Canals
Ready to book an appointment?